Location
Jl. Kartika Utama No.BG 2,
RW.no.115, Pondok Indah
Call Us
+62 81220005630
+62 8119086161
Jl. Kartika Utama No.BG 2,
RW.no.115, Pondok Indah
+62 81220005630
+62 8119086161

Gigi palsu kami dirancang dengan teknologi mutakhir untuk memberikan hasil yang estetis dan fungsional. Dapatkan gigi palsu yang tidak hanya nyaman dipakai tetapi juga meningkatkan kepercayaan diri Anda setiap hari. Wujudkan senyum ideal dengan kualitas yang tak tertandingi.

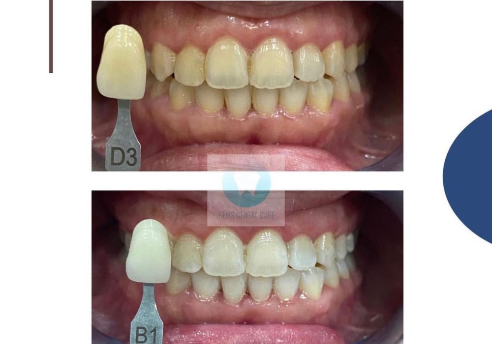
Dengan teknologi pemutihan terbaru yang aman dan efektif, Anda bisa mendapatkan senyum yang lebih putih hanya dalam waktu singkat. Jangan lewatkan kesempatan untuk tampil percaya diri dengan senyum yang bersinar—jadwalkan sesi pemutihan gigi Anda hari ini dan rasakan perbedaannya!

Waktunya untuk mendapatkan senyum yang Anda impikan! Manfaatkan promosi spesial kami untuk layanan dental braces dan atur gigi Anda dengan teknologi ortodontik terbaru. Dengan penawaran menarik ini, Anda bisa menikmati proses pemakaian kawat gigi yang nyaman dan efektif untuk memperbaiki susunan gigi serta rahang Anda. Jangan lewatkan kesempatan untuk memperbaiki tampilan dan fungsi gigi Anda.

Dapatkan implan gigi berkualitas tinggi yang memberikan solusi permanen dan tampak alami untuk gigi yang hilang. Dengan teknologi canggih dan tim profesional kami, Anda bisa menikmati hasil yang kuat, nyaman, dan estetis.

Jangan biarkan gigi berlubang mengganggu hari Anda! Dengan layanan dental filling kami, Anda bisa segera mengatasi gigi berlubang atau retak dengan bahan pengisi terbaik yang aman dan tahan lama. Nikmati manfaat dari restorasi gigi yang cepat dan efektif, yang tidak hanya memperbaiki kekuatan gigi tetapi juga mengembalikan kepercayaan diri Anda. Manfaatkan promosi spesial kami sekarang dan rasakan perbedaannya!

Hadapi kebutuhan pembedahan mulut dengan percaya diri berkat promosi khusus oral surgery kami! Dapatkan layanan pembedahan mulut yang aman dan profesional dengan teknologi terbaru untuk mengatasi berbagai kondisi, mulai dari pencabutan gigi hingga prosedur lebih kompleks. Dengan penawaran ini, Anda akan mendapatkan perawatan berkualitas dengan kenyamanan dan efisiensi yang maksimal.
Jl. Kartika Utama No.BG 2